您现在的位置是:首页 > 牙膏推荐
牙缝变大,必须引起重视!这样做能缩小牙缝
皓齿牙科网
2025-07-19【牙膏推荐】266人已围观
简介门牙中间有缝需要处理吗?会越来越大吗?门牙中间的缝隙不会随着时间而缩小,但是,不及时处理,有可能会越来越大!如何处理大牙缝?处理门牙牙缝主要有这三种办法:1、做牙齿矫正如果经过检查,牙缝两边的牙齿是没有什么异常的,是健康的情况,可以通过牙齿矫正将门牙的缝隙收紧,解决牙缝问题。2、进行牙齿修复如果是因...
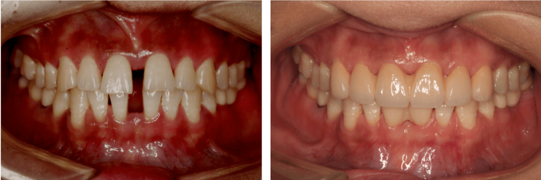
门牙中间有缝需要处理吗?会越来越大吗?
门牙中间的缝隙不会随着时间而缩小,但是,不及时处理,有可能会越来越大!

处理门牙牙缝主要有这三种办法:
1、做牙齿矫正
如果经过检查,牙缝两边的牙齿是没有什么异常的,是健康的情况,可以通过牙齿矫正将门牙的缝隙收紧,解决牙缝问题。

2、进行牙齿修复
如果是因为牙齿出现了龋洞,所以导致牙缝变大的话,建议及时进行补牙修复治疗解决牙洞问题。如果是因为牙齿过小导致的,则可以使用牙齿贴面或者牙冠进行修复解决牙缝问题。

3、进行牙周治疗
如果是因为牙周疾病导致的牙缝,必须及时进行牙周治疗,等到炎症控制、消退后,牙缝会逐渐缩小。
4、进行假牙修复
如果是因为牙齿缺失导致牙缝变大的话,建议及时进行缺牙修复(固定假牙/活动假牙),防止牙齿倾斜,牙缝越来越大。
很赞哦!(37)