您现在的位置是:首页 > 牙齿美白知识
儿童牙齿早期矫正只是个焦虑营销?真不是,早矫有它的必要性
皓齿牙科网
2025-02-03【牙齿美白知识】198人已围观
简介什么是早期矫治?早期矫治是指在儿童的生长发育阶段,尤其是生长发育高峰期及之前的阶段(一般建议是5-12岁),对可能导致错颌畸形的病因进行预防,对已出现的错合畸形进行阻断和矫治,为日后牙颌面发育创造更有利的环境。早期矫治的目标❶维持牙颌面正常生长发育的环境。❷尽可能消除造成错颌畸形的病因。例如及时纠正...
什么是早期矫治?

早期矫治是指在儿童的生长发育阶段,尤其是生长发育高峰期及之前的阶段(一般建议是5-12岁),对可能导致错颌畸形的病因进行预防,对已出现的错合畸形进行阻断和矫治,为日后牙颌面发育创造更有利的环境。
早期矫治的目标
❶维持牙颌面正常生长发育的环境。
❷尽可能消除造成错颌畸形的病因。
例如及时纠正口呼吸、反向吞咽、吐舌头和吮手指等各种口腔不良习惯。

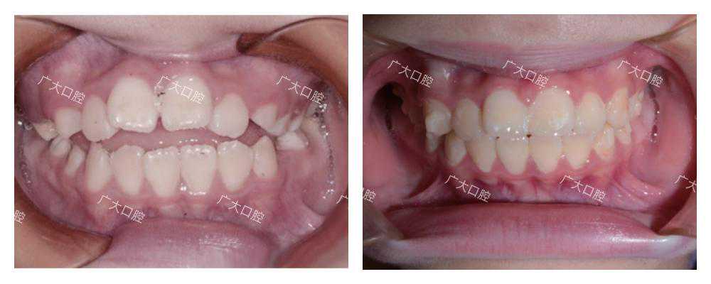
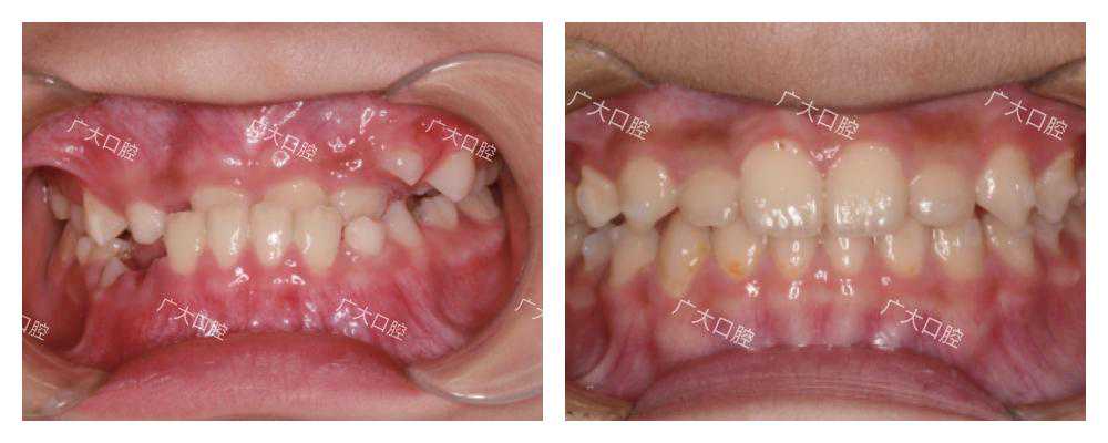
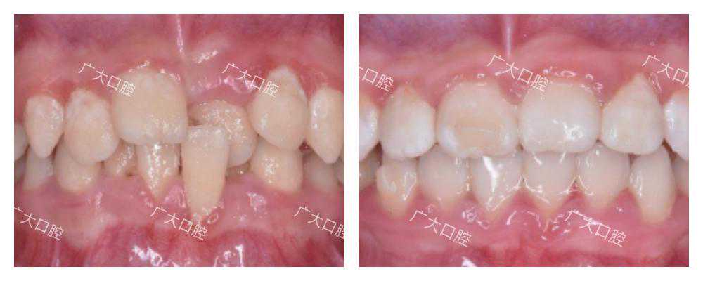
➤吐舌不良习惯导致开颌
❸防止已发生的错颌畸形进一步加重发展。
例如牙性及功能性反颌需早期干预,防止进一步加重为骨性反颌。

➤替牙期牙性反颌
❹改善不良的颌骨形态、生长型和颌骨间位置关系。
例如下颌发育不足的早期生长改良,可促进下颌骨的发育。
治疗:在引导下颌向前的同时扩宽上颌牙弓,内收上前牙。

❺建立相对正常的咬合功能。
❻改善儿童的社会心理发育。
早期矫治的优势
01.反应好、适应性强
早期矫治可充分利用生长发育的潜力,对矫治力反应好、适应性强。
02.降低复杂牙颌畸形的治疗难度

早期矫治可降低某些复杂牙颌畸形的治疗难度,改善骨性畸形的不调关系,有利于后期的正畸治疗,甚至免除后期的正畸及正颌治疗。
03.矫治时效更佳

早期矫治选择的矫治方法和矫治器较为简单,疗程不长。
04.有益身心健康成长

早期矫治及时消除了畸形,防止畸形给儿童造成的生理和心理伤害,有益于儿童身心健康成长。
早期矫治确实可以在一定程度上缓解孩子牙齿不齐及咬合等方面的问题,让孩子的牙齿更整齐美观,提升颜值。
然而早期矫治涉及广泛的生长发育知识及多种矫治器的应用,非常考验医师的理论知识和临床技术。不当的早期矫治,不仅影响牙颌面生长发育、甚至还会造成牙齿健康的损害。
因此,孩子是否需要早期矫治、采用什么样的矫治方法仍然需要专业的正畸医生来确定。
*本文内容为知识科普,不作为具体的诊疗建议使用,亦不能替代执业医师面诊,仅供参考。
很赞哦!(144)
相关文章
- 茶谈/TIME丨牙齿变黄,怪茶?
- 中欣氟材:暂无法判断是否存在国内客户间接向盐野义制药提供新冠口服药原料药小样的情况
- 厦门市中医院开设“体貌调整门诊”解决痤疮、肥胖、脱发等问题
- 齿科企业「清皓普众」获数千万元融资,开发氧化锆、树脂渗透陶瓷等生物材料 | 36氪首发
- 从黑脸到笑脸,征迁户老沈经历了什么?
- 牙齿痛吃什么 牙齿痛吃这些效果好
- 【垂医科普】口腔科:口腔健康 | 呵护从“齿”开始
- 结构设计干货②!通用塑胶件设计boss柱、加强筋、止口、圆角设计
- 齿科企业「清皓普众」获数千万元融资,开发氧化锆、树脂渗透陶瓷等生物材料 | 36氪首发
- 寻找100位“不敢笑”的义乌人,送你一份免费补牙大礼包!