您现在的位置是:首页 > 牙齿疾病
牙齿龋坏究竟要怎么办,补牙之后又能用多久呢?听听看牙医怎么说
皓齿牙科网
2025-07-15【牙齿疾病】54人已围观
简介虫牙是我们日常生活中最常面对也最容易忽略的牙齿健康问题,因为缓慢发展、不痛不痒这些因素,有很多人就不会将自己的注意力注重在这一方面。直到牙齿开始出现了异常或者是疼痛难忍的时候才带着恐惧的心理来到医院看牙,而很多这样的患者很少能保留住自己的健康活髓牙。其实我们的牙齿是整个身体组成里非常坚固的部分,但所...
虫牙是我们日常生活中最常面对也最容易忽略的牙齿健康问题,因为缓慢发展、不痛不痒这些因素,有很多人就不会将自己的注意力注重在这一方面。直到牙齿开始出现了异常或者是疼痛难忍的时候才带着恐惧的心理来到医院看牙,而很多这样的患者很少能保留住自己的健康活髓牙。

其实我们的牙齿是整个身体组成里非常坚固的部分,但所谓"滴水穿石",再坚固的牙齿也经不住人们对它一再的忽视。牙齿龋坏的过程是很漫长的,同时也是不可逆转的。只有在发现自己牙齿出现问题的时候赶紧治疗才能得到有效的控制。针对不同的龋齿程度,我们治疗的方案也完全不同,患者的感受也是截然不同的。

牙齿在初期发生龋坏的时候,我们是感觉不到疼痛和异常的,当然这也是最容易被忽视的时候。如果口腔保养意识好的患者这个时候来医院进行治疗,那么我们将会用专门的工具,帮助患者将牙齿龋坏的部分做一个清理。
如果龋坏程度很小的话也不需要补牙;如果有了一定的深度,使得牙齿表面的平整性遭到破坏容易滞留食物残渣等情况的时候,我们就要将它进行填充修补。
这个过程之中,患者基本上是不会感觉到疼痛的,而且治疗的进程也比较快。

如果患者已经开始出现冷热敏感,吃东西频繁塞牙甚至牙齿自发性疼痛的时候,龋齿就到了中期。这个时候,往往会出现两种情况。
第一种:龋坏很深但是未触及牙髓
在保证龋坏物质去除干净的前提下,我们会为患者尽最大的可能保留活髓。通过牙齿缓慢的自我修复能力,让患者免去根管治疗的麻烦。如果患者的情况比较理想,牙齿的敏感程度和疼痛感完全消失并且存留的本质层足够厚的话,就可以进行补牙,来恢复牙齿的健康了。只是这样的情况其实比较少见。

第二种:龋坏部分已经洞穿本质触及牙髓
这个时候最好的治疗方法就是清除龋坏物质,然后进行根管治疗。牙髓出现炎症不可逆,为了尽快的解除患者痛苦,恢复患者用牙习惯,根管治疗就势在必行了。根管治疗之后,医生会根据患者牙齿的存留情况,建议患者制备牙冠或者打桩制备牙冠。

我们有时候会遇见这一类的患者,自己的牙齿"烂没了",但是牙根里面总是发炎疼痛,这种就是典型的龋齿晚期的症状。因为龋坏部分已经深入牙根,同时引导发了根尖周的病变导致牙周组织出现问题。这个时候患者痛苦的同时还不能立刻拔牙,需要在确定炎症情况的前提之下才能进行下一步治疗。一般治疗完成之后,患者的牙齿就缺失了,需要进行种植牙或者烤瓷牙的牙齿修复。

介绍完了牙齿龋坏的不同程度和治疗的方法,也许你会发现,我频繁提到的一个词:补牙。很多人对补牙其实是不以为然的,属于比较常见的"好了伤疤忘了疼"。当我们的牙齿在被治疗结束之后,补牙的作用有三个:美观、恢复齿功能、保护治疗好的牙齿。很多患者咨询我最多的两个问题就是:补牙究竟要用什么材料,补了牙之后能用多长时间。下面我就来给大家稍作解答。


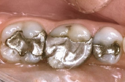
这其中合金材料虽然坚固,但是美观程度很差、还会出现温度传导明显刺激等问题,已经用的很少了。而玻璃离子的材料硬度比较低,通常我们用在临时的牙齿封闭当中比较多。最为常用的还是树脂材料,虽然这种复合树脂的材料从理论上讲对牙齿是有一定的化学刺激,但是绝大多数患者针对这一缺点可以忽略不计。在兼具美观和实用的双重作用下,树脂材料是现在我们修复小型的牙齿缺损最为常用的材料,价格上也是患者完全可以接受的。

但是治疗好的牙齿缺损的部分比较多的时候,那我们就不能使用简单的局部补牙,而是要采用牙齿的修复治疗了。简单地说就是制备人工牙冠套在治疗好的牙齿上。

关于补牙之后能用多久这个问题就比较有意思了。不同的人使用牙齿的习惯截然不同,带来的影响自然也是不尽相同的。所以补牙之后怎么用牙,怎么保持良好的口腔卫生就是牙齿能用多久的关键所在。从理论上讲,如果牙齿经过修补之后,平时很注意用牙习惯、定期复查的话,修补的牙齿完全是可以和正常牙齿一样的。(当然了,如果牙齿做了根管治疗的话,因为缺失了养份供给,寿命上一定比正常牙要短)

说了这么多,罪魁祸首就是蛀牙。其实这样的小毛病我们是真的可以通过养成习惯来预防的,只是很多人并不重视。勤漱口按时刷牙这些叮嘱很多医生都不用说患者自己都能说出一大串,但是真正做到的寥寥无几。
如果你发现了自己的牙齿上已经有了龋坏的地方,也别害怕,越早去医院解决问题你受的痛苦就越小,花费的金钱也越少。

很赞哦!(185)