您现在的位置是:首页 > 牙齿美白知识
什么是根管治疗?用针探入牙齿不会疼吗?做根管之前你要知道这些
皓齿牙科网
2024-12-25【牙齿美白知识】237人已围观
简介有部分患者,出现了牙痛难以忍受的情况后,到医院进行检查,医生告知其需要做根管治疗。出于对根管治疗的不了解,患者可能会心生疑惑,到底什么是根管治疗,对我的牙齿会产生什么样的影响呢。今天我们来详细讲解一下根管治疗根管治疗过程首先我们要明白的是,口腔内部环境是一个比较复杂的环境,有多种菌群同时存在着,我们...
有部分患者,出现了牙痛难以忍受的情况后,到医院进行检查,医生告知其需要做根管治疗。
出于对根管治疗的不了解,患者可能会心生疑惑,到底什么是根管治疗,对我的牙齿会产生什么样的影响呢。
今天我们来详细讲解一下根管治疗
根管治疗过程
首先我们要明白的是,口腔内部环境是一个比较复杂的环境,有多种菌群同时存在着,我们平常进食后残留在口腔内部的食物残渣如果没有及时清理掉,就会滋养口腔内部的细菌,而细菌逐渐聚集起来,就会在牙体上形成牙菌斑,长期的食物残渣堆积就会形成牙结石。
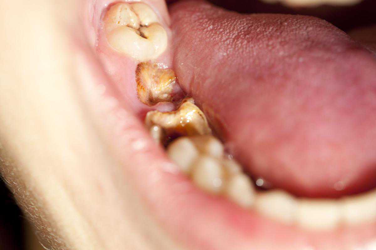
细菌在分解食物残渣的时候,会产生一些酸性物质,而这些物质是会腐蚀牙体的,所以就会慢慢出现蛀牙。龋齿最开始的阶段只有较小的龋洞,且疼痛感并不是很明显,所以患者一般是不会重视的。
而龋洞如果逐渐发展扩大,就会向牙齿内部进军。


牙齿黑点修复
我们的牙齿由外层至内层分别是牙釉质、牙本质、牙髓,如果龋洞逐渐扩大而将牙髓部分暴露出来的话,就会给细菌制造可以侵入牙髓的可乘之机。
牙髓里主要分布着神经和血管,如果细菌侵入牙髓,就会导致牙髓炎等疾病出现,患者也会有较为明显的疼痛感,这时候单纯地补全龋洞已经不能满足患者的治疗需求了。
首先要清除掉牙髓内部被细菌感染的组织部分。那么此时就需要进行根管治疗了。


1,诊断患者状况,预备根管的阶段。
因为每个患者的牙髓感染程度不同,要清除掉牙髓内感染的部分,就需要医生进行准确的诊断,判断出患者的具体情况,从而准备好相应的手术器械以及手术所需要的材料。
2,开始进行手术,进行根管消毒的阶段。
如果患者的牙髓没有全部坏死,留有一部分活髓的话,这种牙体称为活髓牙,如果只有冠髓感染,只需要进行一次消毒;如果是有其他的牙髓发生感染了,就要进行根管部位的封药消毒。也就是说将牙髓内部感染的部分牙髓全部清除掉。
3,后期填充,进行牙髓腔的封闭阶段。
如果将患者髓腔中的感染部分清除掉了,就需要及时进行填充,而这个时机是需要在患者不再有痛觉,且髓腔内不再有异味,也没有牙质深处的状况下,及时进行药物封闭。需要注意的是,最好不要进行反复封药,这样的话对尖周会造成很大的刺激。

需要特别指出的是,如果患者进行手术后牙冠已经被龋洞覆盖,根据术后情况可能是需要佩戴牙冠的,这样是有助于髓腔内部的恢复以及患者行使正常的咀嚼功能的。
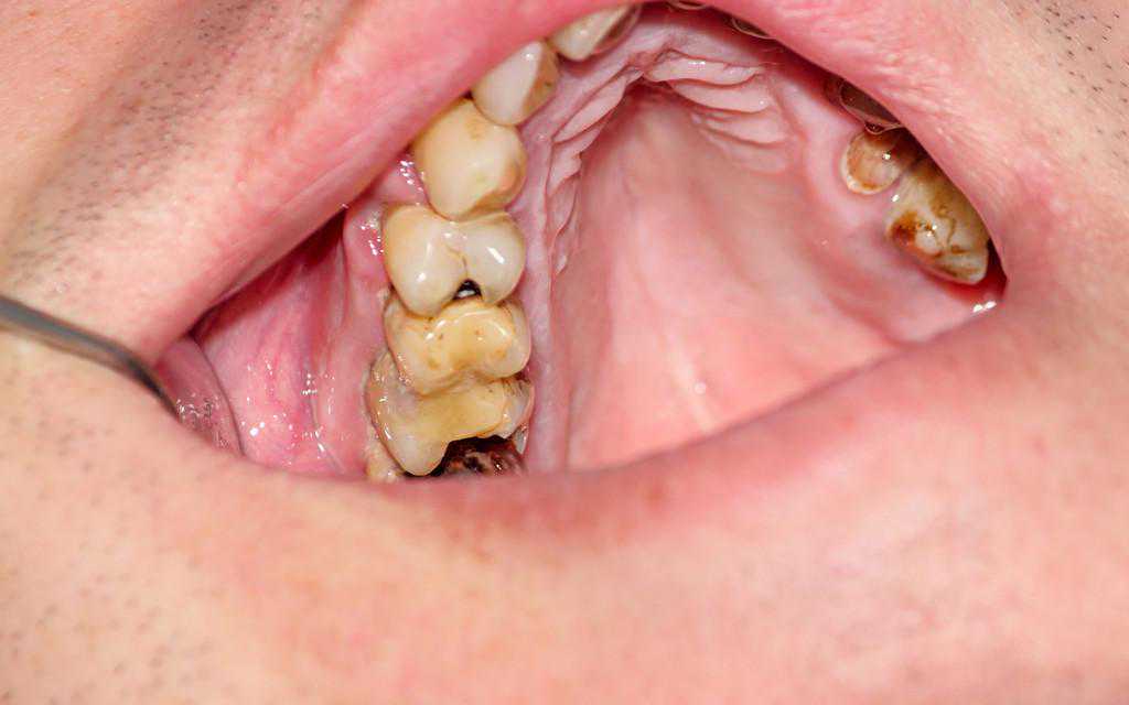
如果患者因为种种原因,没有及时进行根管治疗,其实会留下一个很大的隐患。需要进行根管治疗的患者一般都是情况比较严重的,如果放任不管的话,是很容易让细菌侵犯到更深的位置比如牙根周,这样的话,这颗牙齿可能就会面临松动、脱落的风险,也有可能感染邻牙,导致多颗牙齿病变、脱落。
所以说一旦患者发现自己的牙齿出现龋坏、疼痛的症状,一定要及时就医,尽早做根管治疗,以防出现更为严重的问题。做完根管治疗的患者也不要掉以轻心,也要做好后期的维护:

1,有必要的话做保护牙冠,避免进食太有刺激性的食物,尽量不要咀嚼硬物,保护好术后较为脆弱的患齿。
2,做好口腔清洁工作。早晚两次刷牙,勤漱口,定期洗牙,及时发现口腔疾病并进行治疗和防护。
3,按时复查。一次根管治疗并不意味着万事大吉,在治疗后及时复查,确保治疗后能够完全恢复患齿的健康。
如果患者的牙体问题到了做根管治疗的地步还是较为严重的,一定要及时就医,并尽早进行治疗,避免出现更为严重的口腔问题。
很赞哦!(61)
上一篇:牙齿能只矫正一排牙齿吗?