您现在的位置是:首页 > 牙膏推荐
上海男子34岁牙全掉光,不喜欢假牙,也没时间种牙,怎么办?
皓齿牙科网
2025-02-11【牙膏推荐】122人已围观
简介“大家真的要定期去看牙啊!”这是今年仅36岁,刚种完全口种植牙的周先生由衷地感慨。2年多前,他没想到一个拖延治疗的牙周炎,竟害得自己全口牙掉光……牙齿松得好似风一吹就掉步入社会后,周先生进入了上海一家互联网公司,从事的是工作强度很大的IT行业。一直以来,他的生活习惯都不太好,经常加班熬夜,晚上常常忘...

“大家真的要定期去看牙啊!”
这是今年仅36岁,刚种完全口种植牙的周先生由衷地感慨。
2年多前,他没想到一个拖延治疗的牙周炎,竟害得自己全口牙掉光……
牙齿松得好似风一吹就掉步入社会后,周先生进入了上海一家互联网公司,从事的是工作强度很大的IT行业。
一直以来,他的生活习惯都不太好,经常加班熬夜,晚上常常忘记刷牙,同时还很喜欢喝饮料,最喜欢的外卖就是炸鸡配可乐。
30岁出头的时候,周先生在公司组织的团建洗牙活动中查出了牙周炎。
在那之前很长一段时间,他就有牙龈出血的症状了,但周先生没有当一回事,还以为是熬夜上火导致的,毕竟牙龈出血嘛,也不影响吃饭,应该不是什么大问题,再加上当时他宝贝闺女刚出生,家里到处都要用钱。

可渐渐地,他开始有了口臭的症状,和同事讲话对方会悄悄地别过头,老婆也不给她亲了,女儿更是会童言无忌捂住鼻子说:“爸爸嘴巴好臭”,不管用什么漱口水清新口气都不管用。
与此同时,周先生牙龈出血的毛病越来越厉害,一开始只是刷牙会吐出混着血的粉红色泡沫,到后面咬一口香蕉都带血,甚至晚上加班有时候还会牙痛,但他也只是选择吃止痛药熬过去。

直到有一天,周先生在公司吃外卖的时候,咬到一颗排骨,突然一颗牙掉了下来。
于是,他用手碰了碰口中其他的牙,发现几乎每一颗都可以晃动,咧开嘴巴吹一口气,有的牙甚至松得好似能被吹掉。
这时,他开始慌了。
戴假牙吃饭只是为了活下去然而,此时就医已经晚了,周先生的牙周炎已经发展成了重度。在大半年时间,他的牙齿陆陆续续掉了一大半,剩下的几颗牙也几乎没有咀嚼功能。
渐渐地,他没有办法正常饮食,只能喝煮得稀烂的粥,或者吃撒了点糖的豆腐花,蔬果也只能用榨汁机打碎喝下去。最终,2019年年末,他拔掉剩下的几颗牙,做了全口义齿修复。
用周先生的话来形容,那之后,他的生活开始变得没滋没味,戴着假牙吃饭只是为了活下去。
尽管假牙做得很真,戴上看起来很正常的牙齿没有什么区别,但吃东西的时候根本感觉不到嘴巴里的食物,只能不停地咀嚼,然后感觉差不多了就囫囵吞下去。
而且全口义齿的体积很大,戴上的时候会有很强的异物感,这让热爱美食的周先生一直没办法适应,人变得越来越瘦,一米八的身高,不到60公斤,像个竹竿一样。

就这么过了两年,周先生感到自己还是无法适应,于是去找医生。
医生向他解释,异物感强是全口义齿的缺点,只能靠个人克服,而且随着使用时间的增长,全口义齿的稳定性会逐渐变差,还会容易松动脱落,因此每隔几年需要定期更换,而且缺牙时间越长,牙槽骨会逐渐萎缩,最终义齿的效果会越来越差。
医生告诉周先生,种牙能更好地恢复牙齿的咀嚼功能,也会更加舒适,如果有种牙的想法,应该尽早实施,不然缺牙的时间长了,牙槽骨萎缩了,种植难度会越来越大。
想到自己才36岁,未来的人生还很长,就算只活到70岁,也还有半辈子,辗转难眠几个晚上,周先生最终下定决心去种牙。
当天种植,当天戴牙周先生一开始纠结去不去种牙,还有治疗周期太长的原因。
两年前他去全口拔牙时,当时的医生告诉他,如果选择种牙的话,传统种植技术至少需要半年的时间,周先生无法忍受这么长时间的缺牙,才做了全口义齿。
但这次决定种牙后,周先生发现,现在口腔领域兴起了一种数字化种植的技术,可以“当天拔牙、当天种植、当天戴牙”,这和他想要节省时间的想法一拍即合。
最终,周先生选择了上海一家具备数字化种植技术的三甲医院,开启了自己数字化种植之旅。
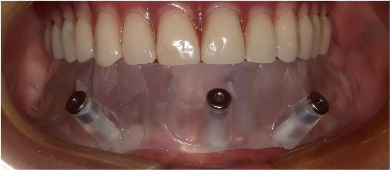
手术前,医生先给周先生做了一套详细的身体检查,并进行了口腔扫描CBCT数据分析,发现他除了血脂有点高,身体还算健康,外加上缺牙时间不算太长,牙槽骨萎缩程度较轻,于是为他选择了ALL-ON-4全数字化种植技术,先进行下颌牙的种植修复。

导入CT数据后,在电脑上设计ALL-ON-4种植方案
All-ON-4是一种基于CBCT+3D+种植导板技术,最大特点是在需要种植的上颌或下颌植入4颗种植体,然后在种植体的基台上安装半口拱形牙冠,从而实现即刻种植即刻戴牙。
整个种植体验下来,无痛、安全、高效是周先生最大的感受。
手术开始后,医生根据周先生口腔的数字模型,用黑格3D打印机打印出了专属于他的定制化种植导板,不仅完全贴合牙龈,还能辅助植体精准植入,避免偏钻、钻穿等意外。

黑格为周先生3D打印的种植导板在口内固位
植体植入后,医生为周先生打印第一副临时牙。周先生上午去种牙,下午就戴上临时牙回家了,晚上还用临时牙吃上了香喷喷的卤面。
种完牙,结果后悔了……为了让周先生有更好的使用体验,一周后医生根据数字模型,又给他制作了第二副临时牙。
随后,医生根据周先生的两次临时牙的试戴体验,为他逐步微调,3D打印出颜色更自然,外观更精致,强度、耐磨度更高的终修复牙。

经过3个月调试修改,3D打印出周先生的终修复牙
2022年1月,周先生戴上了下颌的终修复牙,上个月,他又完成了上颌的数字化种植,至此,他的种植之路圆满结束。
不过近期复查的时候,周先生却表示自己后悔了。
后悔没早点做!他说现在好吃的东西实在太多,这半年让他都长胖了10斤,要是早狠下心来去种牙,就能享受更多美食了。
最后,周先生希望他的故事能给大家一个警示作用,他说如果时光能够倒流,他一定不会再那么忙了,会更早地注意口腔卫生,定期去医院看牙,发现问题及时去治疗。
人生总是有失才有得,现在周先生的女儿还没上小学,周先生已经让她习惯了定期去医院看牙医,他希望能够保护好女儿的牙齿,不要让她走自己的老路。
很赞哦!(78)
下一篇:牙医的心里话,只说给口腔患者听