您现在的位置是:首页 > 牙齿美白知识
烤瓷牙都“黑化”了还不拆?当心真牙全烂掉啊
皓齿牙科网
2024-12-24【牙齿美白知识】228人已围观
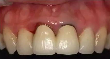
简介由于某些意外的牙齿缺损或牙齿缺失,大部分人会选择烤瓷牙来修复!尤其是早期就做烤瓷牙的患者,材料都是金属内冠,再加上技术不够完善,导致在使用过程中会出现了一些问题!因此,做了烤瓷牙的患者要注意,当您的烤瓷牙出现以下这些问题,不要犹豫,及时到口腔医院复诊,拆除有危害的烤瓷牙!1、引起牙龈黑线这是做了烤瓷...
由于某些意外的牙齿缺损或牙齿缺失,大部分人会选择烤瓷牙来修复!尤其是早期就做烤瓷牙的患者,材料都是金属内冠,再加上技术不够完善,导致在使用过程中会出现了一些问题!
因此,做了烤瓷牙的患者要注意,当您的烤瓷牙出现以下这些问题,不要犹豫,及时到口腔医院复诊,拆除有危害的烤瓷牙!

1、引起牙龈黑线
这是做了烤瓷牙的患者常遇到的问题!因为烤瓷牙价格低备受欢迎,但长期佩戴会出现牙龈发黑。因为非贵金属烤瓷牙在口腔内被氧化。时间久了沉积在牙龈上,则出现牙龈发黑。
如果不及时处理,可能会发生牙龈炎,牙周炎甚至牙齿脱落。

2、引发蛀牙
如果医生备牙不严密,牙齿模型不完善,烤瓷牙加工厂技术不到位!导致佩戴后出现边缘不密合的情况,给细菌“趁虚而入”的机会进入牙冠,长期以往会使牙齿慢慢烂掉,所以需及时拆除。

3、装烤瓷牙前未治愈好牙周疾病
医生患者都急于求成,没有对牙周、牙龈情况做详细评估,如牙龈发炎、红肿、萎缩等,未经治疗就直接安装烤瓷牙而引起一系列问题,应尽快拆除。
4、烤瓷牙崩瓷
烤瓷牙崩瓷后边缘锋利,可能会伤及舌头和嘴唇粘膜等,而且金属会外露,在长期食物摩擦和唾液的作用下会发生化学反应。更加要及时拆除!

5、牙体预备失败
由于医生技术不够,将牙齿磨成锥形牙,露出牙髓等,牙冠无法覆盖,导致反复脱落!不必犹豫,直接拆掉。
拆掉瓷牙重装会伤害真牙吗?在重做烤瓷牙之前,需要检查基牙是否完好,是否需要休整,然后按照专业的技术、流程制作、取模,然后等待重新安装。

对于上述问题,必须及时去复诊,并尽快更换新的烤瓷牙!在医生有足够的技术保障下,建议选择全瓷牙。如果经济条件不允许,可选择钴铬合金或贵金属瓷齿。另外,后期的维也非常重要。
因此,在制作烤瓷牙之前,必须全面考虑!烤瓷牙不是随便做的,烤瓷牙也不能解决任何问题。如果超越范围的使用或者操作不当,必然会带来不良后果。
很赞哦!(104)