您现在的位置是:首页 > 牙膏推荐
有氟斑牙了怎么办?
皓齿牙科网
2025-07-30【牙膏推荐】98人已围观
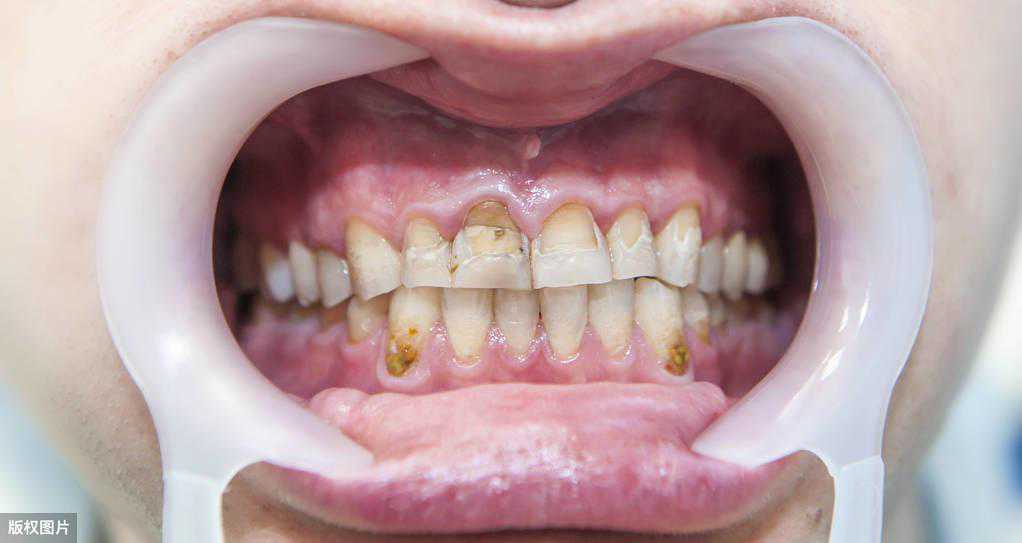
简介氟斑牙是一类色素牙,与四环素牙一样事牙齿染色的主要体现,氟斑牙的起因是过多的氟致使的,轻中度的氟斑牙会使牙齿仅仅色彩的改观,严峻的氟斑牙会令牙齿产生本质性的残缺,治疗氟斑牙需及时。氟斑牙不论是哪种程度的类型,她们的体现特征是同一时期釉质上有白色到褐色的斑块,若严峻者还能发威釉质的本质残缺。轻微表如今...

氟斑牙是一类色素牙,与四环素牙一样事牙齿染色的主要体现,氟斑牙的起因是过多的氟致使的,轻中度的氟斑牙会使牙齿仅仅色彩的改观,严峻的氟斑牙会令牙齿产生本质性的残缺,治疗氟斑牙需及时。
氟斑牙不论是哪种程度的类型,她们的体现特征是同一时期釉质上有白色到褐色的斑块,若严峻者还能发威釉质的本质残缺。轻微表如今牙齿上,致使牙齿外在形态及颜色的损害,影响面容。

中度的会引发韧带,骨膜等均有可能产生钙化,致使全身关节受损。重度的多数牙甚而一口牙发生黄褐色斑块,同一时间有线状,点状或窝沟状缺损,凹陷内有较深的染色,牙面失去光泽。
氟斑牙的治疗方法针对不同的程度的氟斑牙,治疗方法都会有一定的差别。对已形成的氟斑牙根据受损程度分别进行治疗。轻症者一般不需治疗。
中度者可以进行漂白脱色。考虑采用皓齿美白技术、烤瓷牙或者贴面的方式美白氟斑牙。针对中度的氟斑牙可以材料用皓齿美白技术,美白过程短,效果好。
重度氟斑牙的牙齿呈棕黄色或黑褐色,牙齿表面不仅失去了原有的亮白光泽,还粗糙得像粉笔一样,甚至牙釉质出现缺损,需要及时治疗修复。有重度氟斑牙的烦恼,可使用美容冠美白,能针对重度氟斑牙的牙冠部分,进行科学的修整,然后用洁白的美容冠加以包裹修复,实现完美的遮色的同时,还能够修复受损的牙釉质,保护牙齿。

同时还可以选择进行超声洗牙治疗。平时需要做好牙齿清洁卫生工作,避免吃辛辣刺激性的食物,多喝热水,保持饮食清淡。也可以采用瓷贴面修复。

另外,对氟斑牙来说重要的还是预防。氟斑牙通常是由于饮用水里面含有的氟量过高造成的,在做完牙齿美白术之后,最好在家中安装净水机,能够有效的降低饮用水中的氟含量,可以起到净化的效果,平时最好使用一些清洁剂较好的牙膏。根本的预防办法是改良水源,降低饮水中氟的含量。除饮水之外,大气中环境氟化物的污染及含氟量过高的食品等也应加以治理。

原创扶持
很赞哦!(168)