您现在的位置是:首页 > 牙齿疾病
牙套有哪几种,哪种矫正牙齿好?
皓齿牙科网
2025-01-04【牙齿疾病】101人已围观
简介牙齿不整齐,影响美观,咀嚼,口腔健康,现在越来越多的人考虑矫正牙齿,矫正牙齿的方法也越来越多,想要通过矫正牙齿应该选择哪种矫正方式呢?瑞博口腔专家咨询预约电话:矫正牙齿多通过牙齿矫正器,常用的牙齿矫正器主要是以下4种:1、金属牙套在电视上经常会看到一些“钢牙妹”,没错这种的就是属于金属牙套,这种牙套...
牙齿不整齐,影响美观,咀嚼,口腔健康,现在越来越多的人考虑矫正牙齿,矫正牙齿的方法也越来越多,想要通过矫正牙齿应该选择哪种矫正方式呢?

瑞博口腔专家咨询预约电话:
矫正牙齿多通过牙齿矫正器,常用的牙齿矫正器主要是以下4种:
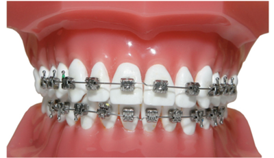
1、金属牙套
在电视上经常会看到一些“钢牙妹”,没错这种的就是属于金属牙套,这种牙套经过长期的实践应用,技术可靠。缺点在于经常参加社交,销售等对外观要求比较高的人士前期不能接受,且弓丝和托槽容易带来口腔清洁不便,给我们日常口腔清洁带来一定的困难。

瑞博口腔专家咨询预约电话:
2、陶瓷牙套
一段时期人称半隐形牙套,性价比相对金属牙套、全隐形相对要高,戴在牙齿上不易被察觉,陶瓷材料与牙齿色泽一致,对于很多成年人群体而言,不适合隐形矫正,且对牙套美观有着一定的追求,是比较好的选择。

瑞博口腔专家咨询预约电话:
3、隐形牙套
瑞博口腔根据牙齿的情况,个性化定制美恒MAYHENG隐形矫治器,采用美国ZuraFLX第三代膜片,对比传统矫治膜片使用高性能的三层复合材料结构,其中间层采用创兴的高性能弹性材料可使矫治器在矫治过程中拥有更好的弹性回复力,可以更加高效的移动牙齿,同时减少了患者初次佩戴矫治器时的不适感,有更出色的应力保持性和抗撕裂性,同时还具有超强的抗染色性能,长期佩戴几乎不会发生变色情况。这种隐形牙套佩戴舒服、卫生、可摘、透明美观,是目前牙齿矫正成人时尚之选,相比于传统固定矫治,隐形矫正还是贵一些,但对于追求个性化矫治的朋友而言是比较适用的。

瑞博口腔专家咨询预约电话:
4、自锁牙套
自锁托槽矫正,让牙齿矫正更便捷,由于增加了自锁装置,使得矫治过程更为方便。减少了椅旁操作时间,延长复诊时间间隔、缩短矫治疗程,矫治力表达更加柔和,且托槽清洁更加容易,费用相比普通托槽要略贵些;

瑞博口腔专家咨询预约电话:
以上是关于牙齿矫正的常见几种矫正器,如果存在牙齿不整齐,如拥挤,深覆盖,深覆颌,牙齿反合,错合,开合,双颌前突,双颌后缩等都可以考虑矫正。
值得提醒大家的是,矫正牙齿并不单单是解决牙齿排序的问题,为了保证长久的矫正效果,在矫正方案设计时需要结合牙齿,骨骼,肌肉,咬合功能来进行整体设计,瑞博口腔有非常专业的矫正医师团队,矫正工作由毕业于第四军医大学的博士、留学归国的专业技术团队进行,拥有深厚的理论功底,又具有娴熟的操作技巧,能更好的帮助有口腔和牙齿问题的朋友,让更多追求高品质生活的人们拥有健康的牙齿和自信的笑容。让优质的口腔医疗服务,源自部队,服务百姓。
很赞哦!(157)
下一篇:#反颌矫正