您现在的位置是:首页 > 牙齿美白知识
每年进行口腔检查,至少洁牙一次
皓齿牙科网
2025-01-12【牙齿美白知识】47人已围观
简介我国人口基数大,人口老龄化日趋严重。老年人身体机能下降,基础疾病多,口腔疾病发展速度快、自我修复能力弱。此外,许多老年人对口腔问题并不重视,“老掉牙”、“牙不疼就不用治”等不正确的传统观念根深蒂固,因此许多老年患者的口腔问题往往复杂严重,治疗难度大,代价高,周期长,效果欠佳。老年人的常见口腔疾病有根...
我国人口基数大,人口老龄化日趋严重。老年人身体机能下降,基础疾病多,口腔疾病发展速度快、自我修复能力弱。此外,许多老年人对口腔问题并不重视,“老掉牙”、“牙不疼就不用治”等不正确的传统观念根深蒂固,因此许多老年患者的口腔问题往往复杂严重,治疗难度大,代价高,周期长,效果欠佳。
老年人的常见口腔疾病有根面龋、牙周疾病、牙列缺损和牙列缺失等。
老年人患龋的特点是经常发生根面龋。随着年龄的增长,如果口腔卫生维护不佳,老年人容易出现牙龈萎缩,造成牙间隙增大,邻间隙不易清洁,进食后容易出现“塞牙”,如果没有进行有效的清理清洁,相应部位就容易加剧牙龈退缩。

或产生根面龋,由于老年人的唾液分泌量减少,他们的龋病发展比年轻人更快。

图注:根面龋图片源自人民卫生出版社第五版《牙体牙髓病学》
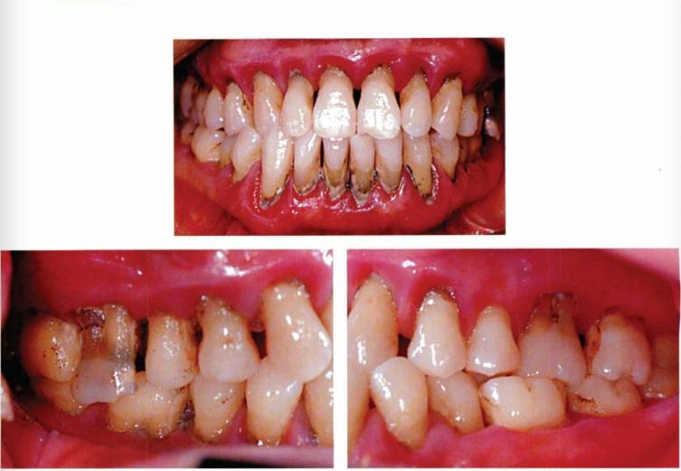
牙周疾病也是老年人常见口腔疾病之一。第四次全国口腔健康流行病学调查显示,我国65-74岁老年人牙周健康率仅为9.1%。牙周疾病包括牙龈炎和牙周炎。如果牙齿清洁不佳,牙菌斑堆积,刺激牙龈引发牙龈炎,牙龈炎未及时治疗,将进一步发展为牙周炎,出现牙槽骨吸收破坏、牙齿松动移位等症状,严重时甚至导致牙齿脱落。

图注:牙周炎图片源自人民卫生出版社第五版《牙周病学》
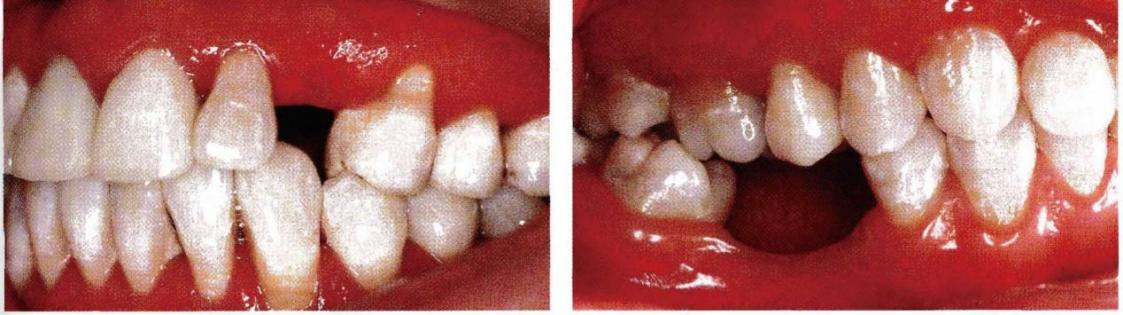
牙列缺损和牙列缺失是影响老年人生活质量的主要问题。龋病与牙周病是造成老年人牙缺失的主要原因。随着年龄的增长,老年人缺失牙数逐渐增多。多数牙缺失会影响老年人口腔的正常功能,尤其是咀嚼进食的功能。长期多数牙缺失还会严重影响老年人的身心健康和生活质量。

图注:牙列缺损图片源自人民卫生出版社第八版《口腔修复学》

图注:牙列缺失图片源自人民卫生出版社第八版《口腔修复学》
老年人预防口腔疾病的关键是要每年进行口腔检查,由于老年人生理和口腔疾病的发病特点,早期口腔疾病往往症状不明显,不易引起老年人的重视,及时就医。为了更好的预防和控制老年人的口腔疾病,提高老年人的生活质量,建议老年人每年进行一次口腔检查,检查的内容包括龋病(尤其是根面龋)、牙周病、口腔黏膜状况等。
同时老年人还应该在日常做好自我口腔卫生维护的情况下,每年至少到医疗机构去洁牙一次,彻底清除牙菌斑,以帮助维持口腔健康。
每年进行口腔检查和洁牙能够让医生帮助老年人及早发现一些口腔问题,及早进行诊断、治疗,并针对不同老年人的口腔情况,提出相对应的预防和干预措施,以防止口腔疾病的发生,控制口腔疾病的发展。早期积极治疗龋病和牙周病,还有利于尽量保留天然牙。
另外,牙根暴露的患者,可定期到医院接受局部涂氟,平日里可使用含氟牙膏,若已经发生根面龋,应及时治疗;对于残留的牙根,如经常肿痛应尽早拔除,避免局部不良刺激;牙列缺损或缺失的患者,应及时进行修复,恢复咀嚼功能;过度磨耗形成的锐利牙尖要及时磨除或调,以防对口腔软组织及颞下颌关节的损伤;如有吸烟、咀嚼硬物等不良生活习惯,应及时纠正。
很赞哦!(56)