您现在的位置是:首页 > 牙齿美白知识
弓外牙:一颗“误入歧途”牙齿的自白
皓齿牙科网
2025-01-17【牙齿美白知识】262人已围观
简介——战支医学中心“世界口腔健康日”系列科普(8)时超,战略支援部队特色医学中心(原306医院),口腔科医研部医学科普中心刘燕/崔彦编辑大家好,我是一颗牙,就在我突破牙龈长出来准备大展身手时,却惊奇地发现和其他牙齿兄弟们站的不是一队,尴尬的位置不但让我不能发挥正常作用,还拖累了整个队伍,对美观和健康造...
——战支医学中心“世界口腔健康日”系列科普(8)

时超,战略支援部队特色医学中心(原306医院),口腔科
医研部医学科普中心刘燕/崔彦编辑
大家好,我是一颗牙,就在我突破牙龈长出来准备大展身手时,却惊奇地发现和其他牙齿兄弟们站的不是一队,尴尬的位置不但让我不能发挥正常作用,还拖累了整个队伍,对美观和健康造成影响,口腔科医生给我们这些“误入歧途”的牙齿起了个名字叫“弓外牙”。其实,我们这些长在牙弓外面的“弓外牙”是一个大家族,有好多成员,下面就给大家介绍一下最常见的几位家族成员。
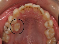
成员一:“虎牙”


上面两张照片里圈出来的牙齿就是俗称的“虎牙”,他其实是异位萌出的尖牙,它的出现与牙齿的萌出顺序以及牙齿排列的拥挤程度有关。尖牙往往是最后萌出的牙齿,牙齿排列越拥挤,尖牙成为“老虎牙”的几率也就越大。“虎牙”的存在不但影响美观,还不能有效发挥尖牙的撕扯功能,咀嚼过程中还可能咬伤嘴唇。
尖牙在面部美观和咀嚼功能上作用巨大,虎牙即使站错队,也不建议因一时冲动而拔掉。
成员二:双排牙


双排牙出现大多是因为牙齿排列拥挤,也就是牙齿数量、大小和骨骼大小不协调造成的(牙齿多、颌骨小)。他们会影响面部美观和前牙功能,还会造成口腔清洁不到位,继而形成龋齿,下前牙的“双层牙”表现会随着下颌智齿的萌出变得更加明显。
“双排牙”这种情况是可以通过替牙期适当的咀嚼训练,去除吮指、嘬腮等不良习惯减轻、甚至避免的。
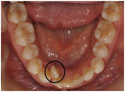
成员三:异位萌出的前磨牙


上图圈出来的牙齿就是这位成员了,他们往往是由替牙障碍引起的。乳磨牙过早脱落,新长出的六龄齿没有了前面的阻挡,逐步向前移动,本该在这个位置上长出来的恒牙被迫从其他位置萌出。对这种情况置之不理,则三颗牙齿之间的间隙会发生食物嵌塞,进而形成龋坏,严重的龋坏会造成三颗牙都无法保留。所以,乳牙发生龋坏后要及时治疗,乳磨牙因无法保留而拔除后也应进行积极的间隙管理,为继承的恒牙留出足够的生长空间。
以上就是我们家族里最常见的成员,如果在您的口腔里发现了我们的家族成员,建议您尽早去专业的口腔医疗机构进一步检查,我们能不能“改斜归正”还需要听一听专业人士的意见。
很赞哦!(136)
上一篇:牙齿健康,与我们息息相关》 牙齿