您现在的位置是:首页 > 牙齿美白知识
青岛正畸|面型改善也是矫正的一大重点
皓齿牙科网
2025-01-04【牙齿美白知识】51人已围观
简介矫正不仅仅可以将牙齿健康、咬合关系进行改善,对面型的美观也是可以进行调整改善,整牙确实对面型起到一定的改善作用,矫正中我会注重面部的细节问题,比如:微笑线的饱满程度、法令纹的深浅情况进行调整等,通过整牙让大家收获健康和面型的全面改善。下面给大家分享我的一些牙齿矫正美学案例案例一:【舌侧案例分享|牙齿...
矫正不仅仅可以将牙齿健康、咬合关系进行改善,对面型的美观也是可以进行调整改善,整牙确实对面型起到一定的改善作用,矫正中我会注重面部的细节问题,比如:微笑线的饱满程度、法令纹的深浅情况进行调整等,通过整牙让大家收获健康和面型的全面改善。
下面给大家分享我的一些牙齿矫正美学案例
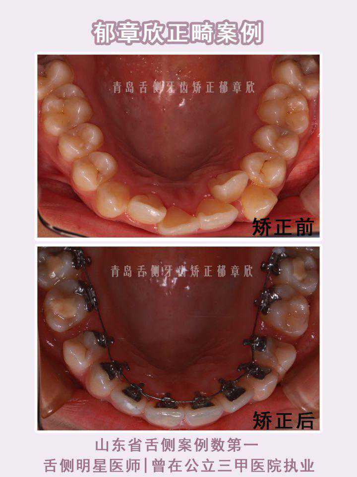
案例一:【舌侧案例分享|牙齿不齐+笑线不调】
患者因牙列不齐,笑容不好看想要通过正畸改善。
姑娘的父亲有很多朋友是牙科医生,在找到我面诊前,是看了很多的牙科医生,最后了解到我擅长做舌侧矫正,自己也意向做舌侧矫正,就特意从潍坊来找到我进行面诊。在面诊沟通中,她对我的方案设计也很认可满意,最后就决定在我这正畸了。
矫正前她的牙列不齐,特别是上牙列虎牙异位,也导致她的笑弧笑线与下唇不平行,笑起来自然不太好看。此外,她笑露牙龈过多,有露龈笑,也影响了笑容美观。
目前仍在矫正中,牙列排齐和笑线的设计,可以看到她牙齿已初步排齐,也有自然笑弧,笑容好看了不少。接下来还会继续调整露龈量和牙齿咬合关系,结果还能更好。


案例二:【郁医生美学篇|露齿量是影响笑容、笑弧的重要因素】
影响笑容美观的因素主要有露龈量、露齿量、笑弧笑线等。而笑露齿也是影响笑容饱满美观的重要因素之一。
比如今天分享的这则案例,患者牙齿拥挤不齐,但我也注意到了她微笑时露齿量不足,矫正中除了牙齿排齐和拥挤度解除,露齿量的调整及笑线调整也很重要。
引起她笑露齿不足的主要原因是:上牙露齿不足,而下牙过长,从而影响患者微笑时的美感。
所以我对应的方案设计是:进行拔牙矫正,排齐牙齿,收缝的时候利用它的钟摆效应,上前牙得到伸长,将下前牙压低,从而露齿量恢复正常,也调整了笑线、笑弧。
矫正后:牙齿排列整齐,改善漏齿不足,收获完美笑容,患者笑起来也更加自信。


案例三:【见证‼️牙齿矫正真的可以瘦脸✅方脸圆脸,牙套脸】
上一期郁医生跟大家说过矫正可以瘦脸,今天郁医生给大家分享一个矫正可以瘦脸的案例
矫正后她不仅没有出现牙套脸,软组织面型有极大的改善,脸型也更加柔和了

案例四:美观微笑|舌侧医生帮你设计
美观微笑的标准,微笑露齿8-10颗牙,牙齿充分暴露但露龈量不超过2mm,要有一个微笑的弧度,上前牙切端连线与下唇弧度协调,两侧的颊外展隙要有恰到好处的颊外展隙,颊外展隙太小的话会显得牙很满,笑起来不秀气,太大又会显老。
图2中这位女生,属于高位笑线(微笑时露出的牙龈超过3mm),牙弓也非常狭窄。在这个案例中我利用舌侧矫正的优势控制垂直向,将前牙区设计成带状弓,对牙齿有很强的控制力,在排齐过程中压低前牙,改善她露龈笑的情况;再借助支抗钉压低磨牙,使颌平面发生逆时针旋转,改善她的颏部形态。
所以像这种微笑时牙龈过度暴露的患者,我们通过压低上下前牙及牙槽高度,注意内收上前牙时的转矩控制,避免上前牙倾斜内收,增大前牙高度,这样的调整后的笑容饱满度得到提升。


整牙大改变,精致面容的秘密
临床中和很多患者沟通主诉的过程中,面型得到好的改善是她们主要期望。
整牙确实对面型起到一定的改善作用,矫正中我会注重面部的细节问题,比如:微笑线的饱满程度、法令纹的深浅情况进行调整等,通过整牙让大家收获健康和面型的全面改善。
但具体情况具体分析,不同的人错颌畸形症状不同、面部特征不一样,得到矫正效果也不一样,所以希望大家可以理性对待整牙改变面型这件事。
任何牙齿矫正方面的问题,欢迎大家私信联系我。
很赞哦!(154)