您现在的位置是:首页 > 牙膏推荐
口腔1刻:牙科修复技师思维
皓齿牙科网
2025-01-13【牙膏推荐】158人已围观
简介义齿修复主要分为分析设计阶段、临床实施阶段两部分。在分析设计阶段,技师作为义齿修复的主要执行者,往往需要对患者面部、牙齿形态特征、色彩特征进行分析,其是修复体制作最为基础的部分。美学修复理念下,美学分析在义齿修复设计制作中发挥着重要作用,包括牙齿轮廓设计、牙齿宽长比例设计、正面视觉比例、色彩特征分析...
义齿修复主要分为分析设计阶段、临床实施阶段两部分。在分析设计阶段,技师作为义齿修复的主要执行者,往往需要对患者面部、牙齿形态特征、色彩特征进行分析,其是修复体制作最为基础的部分。

美学修复理念下,美学分析在义齿修复设计制作中发挥着重要作用,包括牙齿轮廓设计、牙齿宽长比例设计、正面视觉比例、色彩特征分析等。

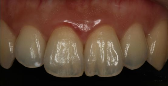
开展美学分析时,如何进行牙齿形态、轮廓、边缘嵴设计?应做到何种效果?这是牙科技师制作修复体之前必须思考的问题。只有构建一个完整的设计思路体系并结合天然牙特点,才能制作出一副满意的义齿。

牙齿轮廓:将一颗牙齿分为9个线条,如上图,可以发现1、2线条是固有存在的,3、4线条与龈乳头、黑三角区域紧密接触,5、6线条为接触区轮廓,7、8线条为切角轮廓。

除牙齿轮廓外,边缘嵴对修复体外形设计也有很大影响。一般尖圆形牙齿轮廓特征为近中、远中边缘嵴略突,中间略凹陷。方圆形牙齿近中边缘嵴较直,远中边缘嵴较短。卵圆形牙齿中间凸起,近远中边缘嵴向舌侧内收。

牙齿宽长比例:可接受范围66%~88%,最佳比例78%,较合适比例范围为75%~80%。

正面视觉比例:牙齿比例设计时,注意边缘嵴弯曲幅度,同时也要注意颈部外展隙的特征。

分析颈部外展系特征,A、B、C外展隙越大,牙齿近中向外翻,远中向舌侧内收。
正面视觉比例:牙齿比例设计时,注意边缘嵴弯曲幅度,同时也要注意颈部外展隙的特征。

分析牙齿颈部颜色时,可以设定几种不同的的颈部色彩,在比色板上模仿染色进行观察分析。

同时观察牙齿牙本质着色区,若着色不稳定可以上釉调整,或者色泽在内层透出,则考虑半透明化。

切端色彩变化也直接影响着前牙修复的美观性。切端色彩分析中,曾祥青老师重点强调了发育叶色彩变化、发育叶形态、发育叶层次位置及透明度变化。由于发育叶表层的变色差异,可以采取中间层染色制作-白色-浅黄的方式,也可以增加透明体瓷。
切缘舌侧区域,可以使用一些高反光色、不透明的材料参杂在切缘区域,这样就可以呈现出白色、橙黄色、橙红色不同的变化。

牙齿色彩效果组合
更多义齿修复内容尽在口腔1刻
很赞哦!(19)
上一篇:成都地铁最新活动!