您现在的位置是:首页 > 牙齿管理
四环素牙怎么治疗?
皓齿牙科网
2025-07-28【牙齿管理】293人已围观
简介四环素牙如果已经形成的话,没办法根治。不过你也别急,四环素牙是可以进行修复改善牙齿颜色和形态的。四环素牙是怎么产生的?一般情况下,四环素牙多半是在牙齿发育、矿化期间服用了四环素药物,引起的色素沉着、牙釉质发育不全。患有四环素牙要怎么治疗?首先处于牙齿处于发育、矿化期的,可以咨询专业医生进行其他药物的...
四环素牙如果已经形成的话,没办法根治。不过你也别急,四环素牙是可以进行修复改善牙齿颜色和形态的。
四环素牙是怎么产生的?
一般情况下,四环素牙多半是在牙齿发育、矿化期间服用了四环素药物,引起的色素沉着、牙釉质发育不全。

患有四环素牙要怎么治疗?
首先处于牙齿处于发育、矿化期的,可以咨询专业医生进行其他药物的代替使用,或者减少用药量。
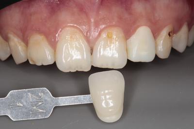
如果四环素牙已经形成的话,则需要根据严重程度进行修复治疗:
①轻微四环素牙:牙齿表面没有明显、严重的缺损,牙体形态正常的轻微四环素牙的话,可以使用牙科专用的牙齿美白剂涂抹后,让沉积在牙齿的色素分解掉,这样的话,恢复牙齿正常的颜色。

②中度、重度四环素牙:牙齿表面有明显的缺损,色素沉积严重的情况,则可以通过牙齿贴面、牙冠等修复材料将四环素牙的问题解决。

很赞哦!(99)