您现在的位置是:首页 > 牙齿美白知识
做什么样的牙性价比最高?烤瓷牙/全瓷牙/种植牙哪种经济又实惠?
皓齿牙科网
2025-01-05【牙齿美白知识】280人已围观
简介目前市面上,烤瓷牙、全瓷牙和种植牙是三种常见的牙齿修复方法。那么,究竟哪种牙齿修复方式既好又便宜又好看呢?本文将为您一一揭晓。一、烤瓷牙:经济实惠的修复方案烤瓷牙是一种较为经济实惠的牙齿修复方式,其价格相对较低,一般在800元起/颗。烤瓷牙采用金属基底和瓷层相结合的方式,既具有金属的强度和稳定性,又...
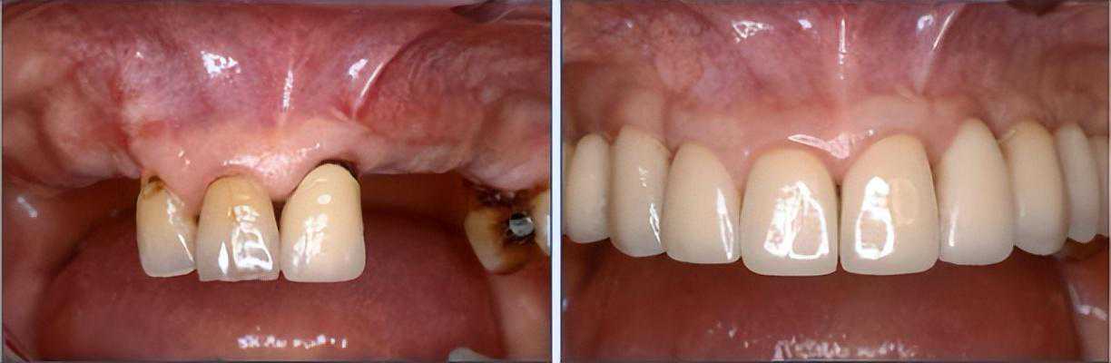
目前市面上,烤瓷牙、全瓷牙和种植牙是三种常见的牙齿修复方法。那么,究竟哪种牙齿修复方式既好又便宜又好看呢?本文将为您一一揭晓。

烤瓷牙是一种较为经济实惠的牙齿修复方式,其价格相对较低,一般在800元起/颗。
烤瓷牙采用金属基底和瓷层相结合的方式,既具有金属的强度和稳定性,又具备瓷层的美观性。烤瓷牙的颜色和形态可根据患者牙齿的实际情况进行定制,修复后的牙齿与自然牙相似度较高。
然而,烤瓷牙也存在一定的缺点。由于金属基底的存在,可能导致牙龈边缘出现黑线,影响美观。此外,烤瓷牙对金属过敏的患者可能不适用。因此,在选择烤瓷牙时,患者需充分了解其优缺点,根据自身情况做出决策。

全瓷牙是一种美观度更高的牙齿修复方式,价格相对于烤瓷牙稍高,一般在1200元起/颗。
全瓷牙采用全瓷材料制作而成,不含金属成分,因此不会出现牙龈黑线的问题。全瓷牙的颜色和形态可根据患者牙齿的实际情况进行专属定制,修复后的牙齿与自然牙几乎无异,美观度极高。
全瓷牙还具有优良的生物相容性,对周围组织无刺激,适合对金属过敏的患者。此外,全瓷牙的耐磨性和抗折裂性能也较好,能够保持较长的使用寿命。然而,全瓷牙的制作工艺较为复杂,价格相对较高,患者需根据自身预算进行选择。

种植牙是一种更为长久稳定的牙齿修复方式,价格相对较高,一般在3100元起/颗。
种植牙通过在缺牙部位的牙槽骨内植入人工牙根,再在其上安装牙冠,实现牙齿的修复。种植牙具有与自然牙相似的功能和外观,不仅美观度高,而且能够恢复牙齿的咀嚼功能。
种植牙的优点在于其稳定性和耐用性较高,能够长期保持牙齿的美观和功能。同时,种植牙对周围牙齿无损伤,避免了传统修复方式可能导致的牙齿磨损问题。
然而,种植牙的治疗周期较长,手术过程相对复杂,对患者的身体状况和口腔健康状况有一定要求。因此,在选择种植牙时,患者需充分了解其治疗过程和注意事项,确保自身符合手术条件。

综上所述,烤瓷牙、全瓷牙和种植牙各有优缺点,患者在选择时应根据自身需求和预算进行权衡。
烤瓷牙经济实惠,适用于对美观度要求不高的患者;全瓷牙美观度高,适合对美观度有较高要求的患者;种植牙长久稳定,适用于对牙齿功能和美观度都有较高要求的患者。
全国口腔医院医生数据库
那么本篇的内容就到这里啦~希望对大家有所帮助,最后祝大家都能拥有一口好牙~
很赞哦!(113)