您现在的位置是:首页 > 牙齿美白知识
正畸医生揭秘丨0成本,只需几个动作就能改善嘴突的方法,真行吗
皓齿牙科网
2025-01-13【牙齿美白知识】191人已围观
简介网上那些吆喝着能瘦脸消腮,无需矫牙,0成本,只需要几个动作就能改善嘴突的方法真的有用吗?要想揭开这个谜底,首先我们要搞清楚,到底是什么原因导致了嘴突。嘴突的原因嘴巴前突,一般是由牙齿前突造成的。而牙齿前突又可以分为牙性和骨性。嘴突在临床最常见的有双颌前突或者下颌后缩(显得上颌前突)。双颌前突的患者常...
网上那些吆喝着能瘦脸消腮,无需矫牙,0成本,只需要几个动作就能改善嘴突的方法真的有用吗?


要想揭开这个谜底,首先我们要搞清楚,到底是什么原因导致了嘴突。
嘴突的原因
嘴巴前突,一般是由牙齿前突造成的。而牙齿前突又可以分为牙性和骨性。嘴突在临床最常见的有双颌前突或者下颌后缩(显得上颌前突)。

双颌前突的患者常表现为上下前牙向嘴唇方向倾斜,自然放松状态下开唇露齿,闭唇困难,闭唇时颏部肌肉紧张,面下部的轮廓线条不自然。双颌前突又可以分为骨性前突和牙(牙槽骨)性前突,也就是我们常说的嘴突和牙突。
那么究竟如何判断前突牙性还是骨性呢?
对于正畸医生来讲,判断标准是需要通过临床检查外加头影测量分析后才能明确。

而对于非专业人士来说,想要判断嘴突到底是牙性和骨性,可以从侧脸看下自己的门牙有没有明显向唇侧倾斜(牙性前突表现)。如果觉得牙齿角度比较直立但侧貌还是前突的话那就是骨性前突。
多数前突的患者都同时存在牙性和骨性的前突,只是两种类型的前突在畸形中占的比例不一样罢了。
那舌头的摆放位置不正确,会造成嘴突龅牙吗?
我觉得不一定。我不认为舌肌是导致开颌的主要原因。从逻辑的角度来讲,舌头的习惯不好,不一定会导致嘴突和龅牙,有些错颌畸形,属于整个人体综合征的一不部分,因为错颌畸形的原因很复杂:主要是环境因素和遗传因素,也有一些不良的生活习惯(张口呼吸,咬手指等);还有一些先天的疾病(佝偻病和甲状腺功能异常)也会导致错颌畸形的发生。
调整舌头的摆放位置,真的能改善嘴突吗?

舌头的正常位置应该是上牙膛往上,当你闭嘴的时候,舌尖应该是顶着你上面牙的舌面。但是有些人的舌肌位置不对,比如上下牙之间是开的,也就是开颌,那他在说话的时候,你会发现他的舌头像蛇一样从牙之间钻出来;有些人反颌,他的舌头是在下牙,所以下牙会比较突出。
通过特意的训练调整舌头的摆放位置去改善嘴突,我觉得会有一定的作用,但这并不能治好嘴突。引起嘴突的原因一般是牙齿前突或骨骼前突。
舌肌功能训练:
A、舌尖顶橡皮圈训练:将正畸牵引皮圈至于舌尖,舌尖顶住皮圈位于上切牙后5mm,保持不让皮圈掉下来,坚持10min,可见舌尖上橡皮圈的印记,每天3组。

B、利用口香糖做舌体上抬训练:具有矫正上颌牙弓及牙槽弓形态的作用,可使矫治后的牙弓形态保持长期稳定性。
方法是:将口香糖嚼软后形成球状放置在舌体前部;舌尖上抬将口香糖贴附在硬腭;用舌体紧贴硬腭部的口香糖将其面积扩大;舌体压住口香糖同时做吞咽运动。一旦熟练后,也可以不使用口香糖而只做舌体上抬训练。

C、弹舌训练:舌体打击上颚动作并发出响声,每组20次,每天3组。若舌系带短小时,可通过手术创造便于舌体上抬的环境
D、卷舌训练:将舌卷起,尽量往后至软硬腭交界处,保持5s,每天2组,每组50次。锻炼舌根部肌肉,帮助舌上抬,尤其适合开颌和高角患者。
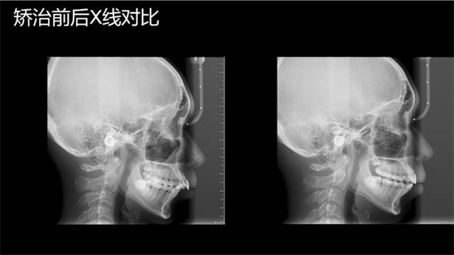
如果是牙齿问题需要到医院进行牙齿矫正,后期配合牙套和舌肌训练,坚持正确使用能明显改善突嘴。但如果是骨骼问题,则建议去医院拍个片子检查,通过手术才能真正改善突嘴的问题。
*本文内容为知识科普,不作为具体的诊疗建议使用,亦不能替代执业医师面诊,仅供参考。
很赞哦!(115)