您现在的位置是:首页 > 牙齿管理
牙医Helen工作室——美白牙贴面小常识
皓齿牙科网
2025-07-11【牙齿管理】114人已围观
简介牙医Helen工作室——美白牙贴面小常识一.什么是美白牙贴面?美白牙贴面是根据患者牙齿个性化定制、用全瓷材料加工、最薄可达0.2mm的微创美容贴片。这种超薄贴面需要由专业牙医采用专业技术将其粘帖在原先不太美观的牙齿表面,用以遮挡颜色和形状。牙贴面能最大限度地保留天然牙齿的强度和活性,无毒副作用,并使...
牙医Helen工作室——美白牙贴面小常识


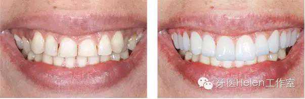
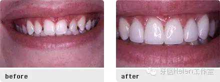
一.什么是美白牙贴面?美白牙贴面是根据患者牙齿个性化定制、用全瓷材料加工、最薄可达0.2mm的微创美容贴片。这种超薄贴面需要由专业牙医采用专业技术将其粘帖在原先不太美观的牙齿表面,用以遮挡颜色和形状。牙贴面能最大限度地保留天然牙齿的强度和活性,无毒副作用,并使牙齿尽可能达到黄金比例,是经久耐用的永久性修复体。二.美白牙贴面的效果明眸皓齿是自古以来对美丽的一贯标准。“如你般精致,又怎能不讲美丽武装到牙齿?”然而对牙齿来说,光有洁白、整齐还是不够哟,牙齿的形状和比例也应如同时装一般,需要与脸型、身材、肤色等等相匹配。美白牙贴面就是能通过无创或微创方式,应用黄金分割和微笑线等原理,为您私人定制出时尚美牙的最佳武器。



三.美白牙贴面的用途几乎所有想要改善牙齿颜色和形状的人士都能通过做牙贴面来达到良好效果。特别适用于以下人群:四环素牙、氟斑牙、死髓牙、牙齿过小、有牙缝、瓜子牙、增龄性变黄、少量牙齿中线偏移、牙齿轻度拥挤、各类牙列不齐、形态不良等情况。对于一些特殊病例,通过矫正适当排齐牙齿之后再进行美白牙贴面的联合修复,是最佳选择。



四.牙贴面会不会有毒副作用?美白牙贴面犹如给健康牙齿穿上一件坚固美观的外衣,不会对健康牙齿造成损伤。贴面由全瓷材料制成,总所周知全瓷材料无毒无刺激,因此牙贴面是生物相容性最好的修复体之一。因为美白牙贴面超薄,并且在粘结之前都需要上釉处理,表面非常光滑,不会给爱美的您遗留有异物感的问题。

五.安装美白牙贴面后会不会影响吃东西?美食是人们的最爱之一,爱美人士也不例外。美白牙贴面是贴在牙齿唇颊侧的非咀嚼功能表面,几乎不影响咀嚼,完全可以和真正的牙齿一样,正常进食。但是,如果不正确使用,同样会造成磨损。建议有贴面修复人士在食用坚果、螃蟹等硬度较高的食物时,使用适当的工具帮忙。六、美白牙贴面能用多久?需要怎么保养?如果注意日常维护,贴面是可以长期使用的。只要正确使用,一般可使用长达20年,甚至更久。牙贴面保养很简单,只需按照平时习惯正常早晚刷牙、饭后漱口,牙缝、牙龈部位使用牙线清洁,每年定期回牙科诊所检查、保养,并注意保持不咬硬物的习惯。
微信2:A8_888R8
公众
很赞哦!(200)