您现在的位置是:首页 > 牙膏推荐
牙齿正畸案例,见识不开刀的整形术
皓齿牙科网
2025-02-01【牙膏推荐】214人已围观
简介牙齿正畸,通常是指通过口腔技术手段,修整牙齿排列不齐、牙齿形态异常、牙齿色泽异常的治疗过程。在业界,牙齿正畸被誉为不开刀的整形术!小编特地整理了拜博的正畸案例,让大家一起看看正畸之后牙齿的蜕变。1、爱笑的小女孩又回来了!姓名:朵朵年龄:4岁牙齿问题:地包天治疗方式:合垫舌簧矫治器家长感言:朵朵小时候...
牙齿正畸,通常是指通过口腔技术手段,修整牙齿排列不齐、牙齿形态异常、牙齿色泽异常的治疗过程。在业界,牙齿正畸被誉为不开刀的整形术!小编特地整理了拜博的正畸案例,让大家一起看看正畸之后牙齿的蜕变。
1、爱笑的小女孩又回来了!

姓名:朵朵
年龄:4岁
牙齿问题:地包天
治疗方式:合垫舌簧矫治器
家长感言:朵朵小时候个性很活泼开朗,可是上了幼儿园后,总有小朋友笑话她的牙齿,她慢慢变得只爱自己玩了,这让做父母的看了特别揪心!我们本来想等她大了再做正畸,但又担心她的性格发展会受到影响,就找到了拜博口腔医院咨询能否给这么小的孩子做矫治,没想到在这里我们得到了专业并富有爱心的答复,及早进行了治疗,现在朵朵的牙齿不仅正常了,颌骨发育也得到了改良,这真是为孩子做的最正确的选择!

2、职场含羞草如沐春风
姓名:Latialin
年龄:32岁
牙齿问题:虎牙,多层牙
治疗方式:自锁托槽固定矫治器

顾客感言:我在一家知名的猎头公司工作,每天要和许多行业精英面谈,可我的牙齿实在是太影响我的形象了!虽然我通过了自己的努力,工作上得到了领导的认可,但一口不整齐的牙齿总让人不那么自信!另外婚期将近,一生一次的婚纱照,当然要留下完美的笑容啊!我和男友商量要做正畸,得到了他的支持。经过了一年多的矫治后,效果异常满意!我终于可以坦然地开怀大笑了!工作也更加如鱼得水了!

3、女儿的关爱让我又年轻了
姓名:赵女士
年龄:56岁
性别:女
牙齿问题:牙齿缺失,无种牙空间
治疗方式:种牙前压低
治疗周期:6个月

顾客感言:我后面的槽牙没有了,吃饭不得劲,总是用一边咬。女儿催促我看医生种牙,没想到一检查发现我的牙长久失修,上颌的槽牙把下颌槽牙的地盘都占据了,经过治疗后上颌槽牙复位了,我有了新的槽牙,现在吃饭香多了!感觉浑身都是劲!整个人的精神状态好多了!


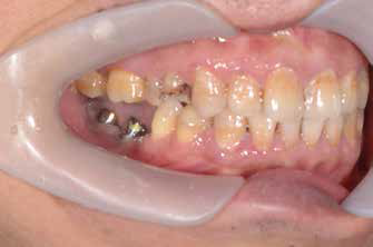
术后图片说明:牙齿上的色素和牙结石经过超声波洁牙已经消失了,牙齿美观度提升。图中金属是纯钛牙根,四个月后为患者进行了烤瓷牙冠修复。
4、正畸改变面像为事业助力
姓名:宋女士
年龄:38岁
性别:女
牙齿问题:牙齿稀松
治疗方式:无托槽隐形矫治
治疗周期:1.5年

很赞哦!(10)