您现在的位置是:首页 > 牙齿疾病
牙齿松动要拔掉吗?牙齿松动拔牙好不好?
皓齿牙科网
2024-11-17【牙齿疾病】136人已围观
简介牙齿松动一般是牙龈萎缩导致的,而且随着年龄增长牙齿的咀嚼能力减弱,从而导致口腔细菌滋生引发牙周病牙周炎等症状,所以一些老年人出现牙齿松动的时候就想到拔牙。那么,牙齿松动要拔掉吗?牙齿松动拔牙好不好?01牙齿松动要拔掉吗牙齿是我们吃东西时,用来咀嚼的最重要的工具,不到万不得已,都希望尽可能保留下来。但...
牙齿松动一般是牙龈萎缩导致的,而且随着年龄增长牙齿的咀嚼能力减弱,从而导致口腔细菌滋生引发牙周病牙周炎等症状,所以一些老年人出现牙齿松动的时候就想到拔牙。
那么,牙齿松动要拔掉吗?牙齿松动拔牙好不好?

01牙齿松动要拔掉吗
牙齿是我们吃东西时,用来咀嚼的最重要的工具,不到万不得已,都希望尽可能保留下来。但是如果遇到以下情况,就应该采取拔牙的治疗方案:
1.因外伤等引起的严重的牙体缺损;
2.无法治疗的根尖周病和牙周病;
3.阻生的,也就是所谓长歪的智齿;
4.因为镶牙、矫正方案的需要,而拔除的一些牙齿;
5.其他情况:额外牙、引起颌骨骨髓炎或上颌窦炎等的病灶牙、骨折累及的牙齿。
02牙齿松动拔牙好不好

严重的高血压、心脏病、甲亢以及一些精神、心理疾病和障碍不适合在没有监护措施下拔牙,因为拔牙也是一种有创的外科治疗手段,口腔外科医生和患者都应该避免术中可能出现的、不能控制的风险。
另外,拔牙之后还应规避出现的另一个问题:出血不止,伤口不能愈合。如果患有未加控制的出血性疾病、肝炎、糖尿病都不适合拔牙。
因此,最好的办法是通过相关的科室,对患者基础疾病的有效控制,在有监护措施的条件下进行拔牙。
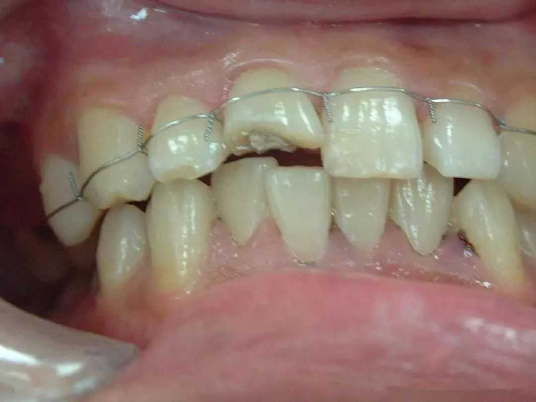
03牙齿为什么会松动呢
1)对牙周病引起的牙齿,若轻度松动,通过有效的牙周病治疗,多会恢复正常;
若中度松动,在治疗牙周病的同时,还应该把松动牙与相邻的牙结扎固定在一起,用以降低松动牙的负荷,阻止牙齿松动的加重,这时松动的牙齿多数还不能恢复。

若重度松动,即指牙齿松动Ⅲ”,也就是说牙齿无论上下左右均明显松动,这时多采用拔除患牙的方法,避免加重相邻牙齿不必要的负担。
2)牙齿松动是因外伤造成时,若轻度松动,可服用消炎药(螺旋霉素、林可霉素等),一但炎症消退,牙齿即可自动恢复稳固状态。
若松动严重或脱位、移位时,就应把牙齿复位,然后结扎固定于相邻的牙齿上,并服用消炎药,保持口腔卫生,短期内禁用此牙等等,过l~2个月此牙即可恢复正常。
3)牙周炎或根尖周炎急性发作时出现的牙齿松动,治疗主要是控制炎症,一旦急性炎症缓解,牙齿松动情况也能减轻或消失。
4)个别牙咬合力量过大或咬合关系异常时出现的牙齿松动,一般经医生调整咬合后,消除咬合创伤,牙槽骨能自我修复,牙齿也可恢复稳固状态。
很赞哦!(193)