您现在的位置是:首页 > 牙齿疾病
保持器改怎么选?
皓齿牙科网
2024-12-24【牙齿疾病】190人已围观
简介牙齿矫正的患者在治疗完成以后往往都会被医生要求佩戴保持器。想要阻止牙齿“反弹”,keep住矫正后的“胜利果实”,一定离不开保持器。那保持器真的要终身佩戴吗?不见了/丢了怎么办?有什么注意事项?一起来看看~首先介绍下3种保持器的优缺点。①哈雷保持器哈雷保持器是由自凝塑胶和不锈钢丝制造成的,结实耐用,加...
牙齿矫正的患者在治疗完成以后往往都会被医生要求佩戴保持器。
想要阻止牙齿“反弹”,keep住矫正后的“胜利果实”,一定离不开保持器。那保持器真的要终身佩戴吗?不见了/丢了怎么办?有什么注意事项?一起来看看~

首先介绍下3种保持器的优缺点。
①哈雷保持器哈雷保持器是由自凝塑胶和不锈钢丝制造成的,结实耐用,加力准确。而且某些轻度复发的患者可以通过改良的哈雷保持器做简单的纠正。
但它的体积较大,戴上异物感会比较明显,有钢丝横在前牙区,美观性也略差,更适合夜间佩戴。很多在深圳牙齿矫正的患者就是因为觉得不舒服就不坚持了,最后影响了保持效果。

和隐形牙套长得差不多,也是透明的,但更厚。白天社交可以正常佩戴,不影响美观,舒适度高。它对牙齿的包裹性是3款里面最好,能有效防止牙齿重新发生扭转和伸长。
但因为有厚度易上下牙咬不紧实,也会出现染色、老化、断裂等情况,需要每天摘戴使用、清洁和定期更换。

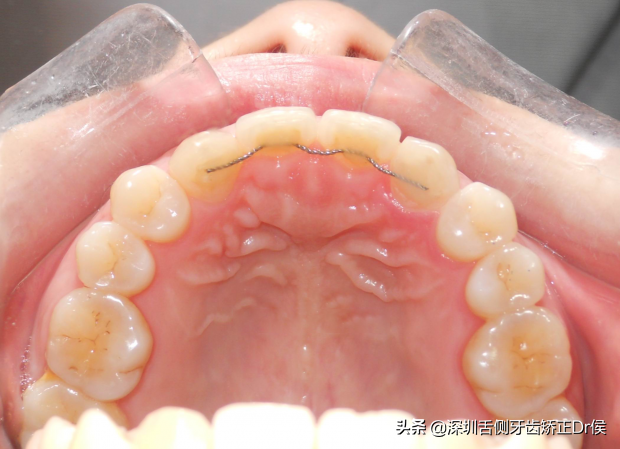
完全隐蔽、固定,异物感最小,对美观没有影响,也不需要自己取戴,不怕丢失,适合长期保持。
但日常清洁会略有麻烦,清洁不到位容易对牙周健康造成影响,半年复诊一次。不影响生活的情况下,可以终身佩戴。

深圳牙齿矫正患者的保持阶段也是非常重要的一个阶段,一定要按医嘱来佩戴,正畸医生也会根据你的牙齿状况等因素来建议选择。

先解释下:终身佩戴,不是每天24小时都要戴着。而是每周或每个月里,拿出来再戴一两晚/天。所以不用太焦虑。
如果你非要问:“怎样才能保持100%不反弹?”
那建议一定是:“终身佩戴。保持是相对的。”因为保持器戴多久合适,是没有一定答案的。具体的佩戴时长还要因“牙”而异。对于常规保持时间,2年左右只是最常见的建议。
理论上,定期复诊,时间越长效果越稳定。
由最初的每天24小时佩戴,到白天不戴晚上戴,到隔天佩戴,到一周/一月戴一次,逐渐减少佩戴的时间。如果一直减下去,重新戴上时都不会紧,基本上就可告别保持器了。
别说终身佩戴了,有些深圳牙齿矫正以后的患者朋友连半年都坚持不下去,还不定期复查,结果反弹的状态不可逆,又要开始二次矫正…

能怎么办,马上行动起来,去医院重新定制吧~
每个医院/齿科的收费标准不同。
【保持器护理小tips】先说哈雷和透明保持器的:
✦每天清水洗洗刷刷,注意不能用热水
✦可以配合清洁片,去除异味
✦买个存放盒,不要用纸巾包住了,容易丢
✦吃东西最好要摘下来
✦注意摘下来的手法,用力过猛容易掰断
✦佩戴时长一定要22小时以上

再说舌侧保持器的:
✦主要是注意刷牙和用牙线这方面的,牙线牵引器可以买一个
✦别吃过硬的食物
✦脱落后要及时重新粘结。

补充:保持器与牙齿情况有一定关系,所以没有绝对的最好。在牙齿矫正治疗完成以后,请记住,1、定期复诊,2、好好戴保持器,这样才能让你保持美丽哦。
很赞哦!(195)