您现在的位置是:首页 > 牙膏推荐
牙齿残根到底留不留?把根留住怎么留?
皓齿牙科网
2024-12-30【牙膏推荐】170人已围观
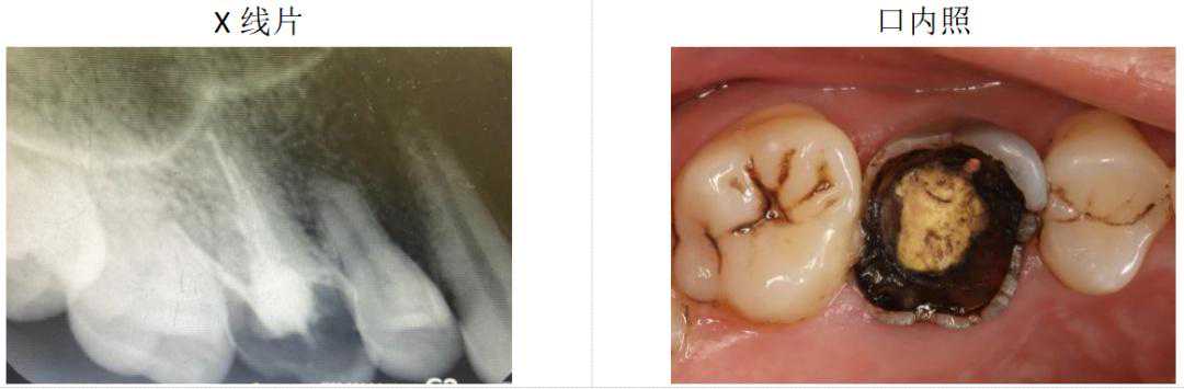
简介在临床工作中,牙齿残根带来的问题非常常见。残根是指牙齿的牙冠部已经全部缺失,只剩下牙根的部分。牙齿残根产生主要有两种原因,一是龋齿,也就是人们常说的蛀牙,二是外伤,牙冠被折断,只剩下埋在骨头里的牙齿根部。牙齿残根可能引发多种问题,需要及时治疗。图1龋齿-残根的发展图2残根临床照片作为残根产生的元凶之...
在临床工作中,牙齿残根带来的问题非常常见。残根是指牙齿的牙冠部已经全部缺失,只剩下牙根的部分。牙齿残根产生主要有两种原因,一是龋齿,也就是人们常说的蛀牙,二是外伤,牙冠被折断,只剩下埋在骨头里的牙齿根部。牙齿残根可能引发多种问题,需要及时治疗。

图1龋齿-残根的发展

图2残根临床照片
作为残根产生的元凶之一,龋齿已经成为我国居民的常见口腔问题。第四次中国口腔健康流行病学调查报告的数据显示,35-44岁年龄组的人群,平均每个人就有4-5颗龋齿,55-64岁年龄组平均每个人有8-9颗龋齿,而65-74岁年龄组平均每人有13颗左右龋齿,足见龋齿对于口腔健康影响之大。下面就和大家分享关于残根的危害以及残根该如何治疗的知识,希望对大家有所帮助。
如果出现了残根的口腔问题,一定要及时就医。就算残根暂时不痛,也不代表没有以下列出的三个隐患问题(生物、功能、美观三危害)。
残根的第一个隐患是细菌感染。出现残根却不做治疗,那么牙齿的髓腔和根管都会暴露在外界的有菌环境中,细菌可以沿着根管到达根尖,使根尖周围发生炎症反应,就会牙疼,甚至可能诱发其他影响全身的疾病。
残根的第二个隐患是还会引发功能问题。缺了一颗牙齿,咀嚼的效率当然会受到影响,带来营养摄入的问题。有研究显示,牙列较差的老年人饮食多样性明显较低,表现为摄入新鲜水果、新鲜蔬菜、肉类、鱼类等食物的频率较低,营养状况也较差。另外,残根会导致“嘴巴漏风”,影响发音功能。
残根引发的第三个隐患是牙列会变得不美观。我们的牙齿互相依靠,就像排好了队伍一样。如果某颗牙齿没有牙冠只剩下残根,两边的邻牙会向残根的位置移动,和它相对的对合牙也会慢慢变长,影响牙列整齐,进而带来美观问题。

图3残根的危害

图4残根的处理流程
如果医生判断留下的残根有发炎、松动或者长度过短,一般就要拔除,等待骨头恢复良好,再做种植牙、活动义齿、固定桥等进一步的治疗。那如果医生判断残根状态良好,有保留价值,则进行“保根”治疗:
第一步根管治疗
根管治疗能够彻底清除感染的牙髓部分,再严密充填根管,这样就能将外界感染物与根管彻底隔绝,防止细菌引起的炎症,大大延长牙齿的使用寿命。在完成根管治疗后,要进行大约两周的观察,如果牙齿没有不适症状,就可以进行下一步的修复治疗了。
第二步修复治疗
为了避免残根折断,修复治疗是必要的。这里为大家介绍两种常用的修复方法——覆盖义齿和套筒冠。
(1)覆盖义齿
保留下来的残根做好封闭后,可以考虑做覆盖义齿,医生会设计形状、大小合适的假牙。由于保留了牙根,牙槽骨的吸收会减缓,覆盖义齿的寿命也会更长;也可以在健康牙根上做附加装置,这样假牙会更加稳固、咀嚼效率也会提高。
(2)套筒冠义齿
套筒冠也叫二重冠固位体,是一种可摘义齿。套筒冠固位体由内冠与外冠组成。内冠紧密粘结在残留牙齿组织表面上,外冠盖在内冠表面上。需要用牙时戴上外冠部分,满足日常的用牙需求;不用时可以摘下外冠部分,便于清洁维护。
套筒冠义齿有诸多优势。一是在反复摘戴后,依然牢固,不会因为摩擦损伤周围牙体组织;二是外冠可以取下,便于维护。总的来说,“比固定义齿灵活,比活动义齿稳固”。

图5残根拔除后的修复手段

图6残根保留的桩核冠修复
2023年9月20日是第35个“全国爱牙日”,主题是“口腔健康全身健康”。口腔状况与全身健康息息相关。“牙疼不是病,疼起来真要命”,在早期,龋齿只影响到牙釉质表层,此时治疗不会感觉牙疼。但是如果治疗不及时,龋齿波及到牙髓,影响牙神经,此时再治疗,就会“疼起来要命”了。而且,龋坏中的致病菌以及炎症的有害代谢产物会进入血管,波及全身,对心、肾、中枢神经系统等产生影响,带来更严重的后果。
对于同样的口腔问题,如果能够早发现、早治疗,口腔的正常功能就能更好地保持,同时省下更多的时间、精力和金钱。

图7不同阶段牙齿保护、修复方法
健康的牙齿除了日常刷牙清洁,只需要定期洗牙即可保持健康;如果出现小型龋洞则需要进行树脂填充,也就是补牙,只需要就诊一次即可完成,花费也较低;但如果还不治疗,发展到大型龋洞,就需要陶瓷嵌体修复;如果更进一步,出现了牙神经炎和牙根发炎,就必须根管治疗,再进行冠修复;最后,如果发展到仅存残根,那么残根不管是拔掉还是保留,牙齿的功能都将不可避免地受到较大损伤,相应的治疗方案会要求多次复诊,开销也较大,费时费力,并且治疗过程中可能出现牙龈肿痛、发烧等症状,影响正常的工作和生活。
古话说,“大医治未病”。如果能做好日常口腔清洁,预防口腔问题的出现,或者在病症刚出现时早治疗,就能保证口腔的健康,有一口好牙享受生活。
(本文受到上海科普教育发展基金会科普公益项目资助)
作者:黄铫(文)、张缘(图)指导老师:上海交通大学医学院附属第九人民医院口腔修复科主治医师王洁上海交通大学医学院附属第九人民医院口腔综合科住院医师戴兆威
很赞哦!(99)
上一篇:细数“含氟牙膏”的是是非非
下一篇:牙齿如何保健
相关文章
- 楚天科技申请预充针内气泡体积测量方法专利,能对每根预充针内气泡进行单独测量,测量精度高
- 口腔种植体集采最高降价近八成,国产品牌报出最低价,患者或将节省50%费用
- 楚天科技申请预充针内气泡体积测量方法专利,能对每根预充针内气泡进行单独测量,测量精度高
- 牙齿美白不能过度
- 黄河美食丨陕西“Biáng Biáng面”:碗中藏乾坤 一面通古今
- 每10万人仅0.7名正畸医生!暑期正畸热,市场却鱼龙混杂!医生:正畸并非简单的美容行为
- 原装的才是最好的?不同价位iPhone手机壳横评
- 牙体牙髓病科,抗疫前线“急先锋”,“数”说牙体牙髓病科的口腔战“疫”
- 上海十大新加坡留学咨询办理机构精选名单榜首公布
- 只有几颗牙不齐,可以只做半口矫正吗?听听看牙科专家的意见