您现在的位置是:首页 > 牙齿管理
种植牙手术流程
皓齿牙科网
2025-07-22【牙齿管理】44人已围观
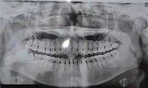
简介很多人都听说过种植牙效果好,那么种植牙是什么样的,它优于传统假牙的点在哪里,种植牙手术又是什么样的流程呢?下面我来为大家做个解答:种植牙手术过程step1.先要做一个口腔全景片、颌骨CT等。查看口腔的具体情况,是否有炎症、牙槽骨吸收等情况。然后,医生会询问患者全身的病史,可能需要查血常规、出凝血时间...
很多人都听说过种植牙效果好,那么种植牙是什么样的,它优于传统假牙的点在哪里,种植牙手术又是什么样的流程呢?下面我来为大家做个解答:



step1.
先要做一个口腔全景片、颌骨CT等。查看口腔的具体情况,是否有炎症、牙槽骨吸收等情况。然后,医生会询问患者全身的病史,可能需要查血常规、出凝血时间、血压、血糖、乙肝5项、脉搏等。确定能手术后,才会诊断去模、指定种植牙方案。(第一次大约1个多小时)

step2.
正式开始种植牙手术。在牙槽骨上制备一个孔,植入人工种植体。将牙骨床内严密缝合,大约一个星期后可以拆线。这次大概2个半月--3个月)

step3.
等待骨结合期。(这个时间的长短因人、因种植系统而异。有的人、有的种植牙系统系统要2--3个月;有的需要超过半年时间)

step4.
安装愈合基台,使种植体穿出牙龈,等待软组织成形。

step5.
在差不多2--3周后,软组织成形后。种植牙医生会用永久基台换下愈合基台。


step6.
佩戴种植牙冠
step7.
全部完成后,每年定期到医院检查2次。
半/全口即刻种植修复技术突破了传统种植牙对牙槽骨条件的限制,针对半/全口无牙患者,通过植入4至6颗种植体达到重建半口牙齿的效果。“半/全口微创即刻种植”这一目前种植牙领域前沿技术,不仅可以减少种植体的植入,降低种植牙修复的风险,为患者节省费用,更重要的是,它同时实现了当天种牙当天就可以戴牙,恢复牙齿的咀嚼功能。
很赞哦!(64)
上一篇:揭秘冷光牙齿美白:谁最适合?